Vlasnica ubijenog mačka u Bjelovaru; ‘’Pablo je 27 sati bio u teškim mukama. Nažalost, nije izdržao…’’
Pablo, mačak star godinu i pol dana, preminuo je danas oko 11 sati u teškim mukama, nakon što je jučer (nedjelja) u jutarnjim satima ustrijeljen u bjelovarskom Vinkovićevom naselju.
Epilog je to bolesnog uma koji je odlučio uzeti oružje i presuditi kastriranom kućnom mačku koji nikada nije nikome smetao. Sve do jučer.
Neutješna i sva u suzama, a na trenutke i bijesna je njegova mlada vlasnica Glorija Vuković koja se javila Regionalnom portalu Bjelovar.live s ovom tužnom viješću.
Veterinari su dali sve od sebe
– Slomljeno mi je srce zbog svega. Mačak je bio većinom u unutar kuće i nikad nikome nije smetao. Jučer je oko 9 sati ujutro uz glasan mjauk tražio da ga pustimo u kuću, nakon što je kratko bio vani zbog nužde. Čim je ušao primijetila sam de nešto ne valja, a ubrzo se šokirala kada sam vidjela ulaznu ranu. Odmah smo Pabla prevezli veterinaru, prvo u Veterinarsku stanicu Bjelovaru, zatim u Veterinarsku ambulantu Majcan, a potom u Zagreb u Veterinarsku kliniku Buba. Svi veterinari su dali sve od sebe. Pablo se mučio dugih 27 sati. Nažalost, danas ujutro smo primili vijest da je preminuo – kazala nam je Glorija.
Životinja ustrijeljena rasprskavajućim streljivom?
Takvu bolesnu namjeru, kaže, nikako ne može razumjeti, a posebice stoga jer je Pablo bio kastriran mladi mačak koji nije lutao naokolo i uzrokovao eventualne probleme, već se gotovo cijelo vrijeme svog života nalazi unutar svog doma.
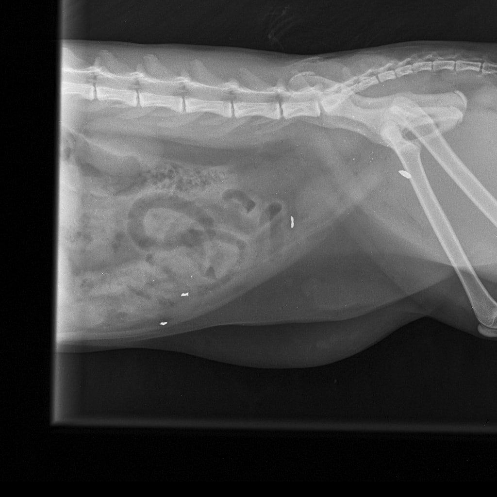
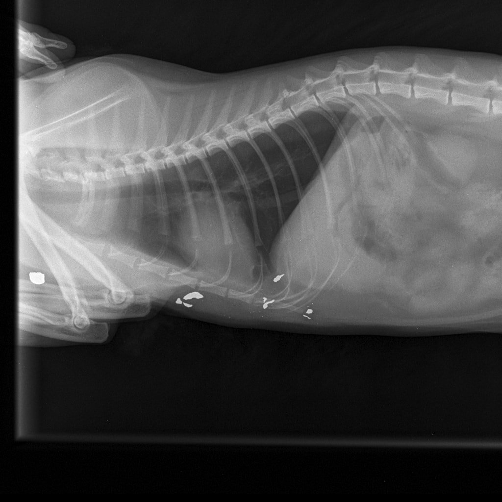
– Nikako ne mogu razumjeti da mi je netko namjerno ubio životinju. I to metkom koji se rasprsnuo u tijelu malene životinje što nije metak iz zračne puške. To se lijepo i vidi na rendgenskoj snimci koju smo obavili u Veterinarskoj ambulanti Majcan. U svakom slučaju, prijavili smo sve policiji koja će, iskreno se nadam, čim prije pronaći krivca – rekla nam je tužna vlasnica ubijene životinje.
Namjerno ubijanje životinja u Vinkovićevom traje godinama?
Ističe i da ovo nije prvi put da u Vinkovićevom naselju stradavaju životinje na sličan način.
– Namjerno ubijanje životinja traje već duže vrijeme koliko znam. Rekla bih godinama. Namjerno su ubijani mački i psi. Dakle, može se zaključiti kako u naselju živi netko tko u tome uživa i to radi s vremena na vrijeme. Najjednostavnije, radi se o ubojici, monstrumu…Srce mi se slama, ne mogu vjerovati da to netko može napraviti.. Ima li ta osoba ljubimce? Djecu? Imalo empatije?! Zar se to naziva čovjekom? – pita se Glorija.






